Aug 16, 2019
Pneumothorax: Pigtail or Chest Tube?
Keith Varnes
A patient with a hemodynamically stable spontaneous pneumothorax can be managed as an outpatient using the placement of a small-bore pigtail catheter attached to a Heimlich valve. Instruct the patient to keep the valve dry and to come in daily for chest x-rays. Once the lung is fully inflated, remove the pigtail.
Of course, that doesn’t answer the question. Which is better: a pigtail, or a chest tube connected to a Pleur-Evac container? According to the information cited by Unity Point Health, the pigtail is better. The outcomes are the same and the rates of complications are the same. However, the amount of pain the patient will experience is significantly less with a pigtail. As a bonus, there will less scarring.
I know what some of you you are thinking. What about a hemothorax? Again, the pigtail is better. All of the reasons are the same, and unclotted blood will drain regardless of catheter size. Clotted blood will not drain regardless of catheter size.
See the links below for further information:
- Outpaitent Management of a Spontaneous Pneumothorax, by Joseph Esherick, M.D., FAAFP, FHM
- Pigtail Catheters Presentation, by Bellal Joseph, M.D., FACS
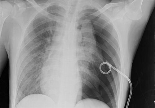
- Image from Xuite Blog – Pneumothorax with Pigtail
- Interpretation of the Chest Radiograph by Dr. Arthur Jones, EdD, RRT (1 CRCE Credit Hour)
1 thought on “Pneumothorax: Pigtail or Chest Tube?”
Leave a Comment
You must be logged in to post a comment.

Keith, I have 5 pneumothoraces. 2 on the right, 3 on the left. I vividly remember my very first chest tube. It was placed while I was wide wake with the use of a trocar. It felt like I was being shot through the chest in slow motion with a .45. My last 2 chest tubes were placed with the use of better drugs than I can find on the streets. I love the idea of a pigtail chest tube but I would be very uncomfortable as a patient going home with one, and uncomfortable as a practitioner sending a patient home with one. Yes the rate of complications are the same but some of those complications can be quite… Well… “adventurous” shall we say? 🙂 Be safe brother…
J. D’Urbano, RRT (Retired)